
Zahnhalsdeckung in Basel
Gesundes Zahnfleisch, schönes Lächeln
Weniger Schmerz, mehr Komfort – Zahnhalsdeckungen
Freiliegende Zahnhälse können schmerzhaft sein und das Lächeln beeinträchtigen. Mit modernen Zahnhalsdeckungen schützen wir Ihre Zähne zuverlässig vor Kälte, Hitze und Berührungsempfindlichkeit – und stellen gleichzeitig eine harmonische Zahnästhetik wieder her.
Dank schonender Techniken erfolgt die Behandlung präzise und minimalinvasiv. Das Ergebnis: weniger Empfindlichkeit, mehr Komfort und ein natürlich schönes Lächeln.
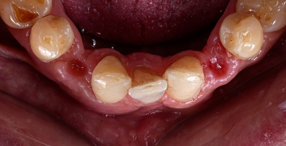
Fallbeispiel - Zahnhalsdeckung
Freiliegende Zahnhälse können nicht nur Schmerzen verursachen, sondern auch das Risiko für Karies und Entzündungen erhöhen. Kalte Getränke, süße Speisen oder schon die Zahnbürste werden plötzlich zur Qual.
Mit modernen, minimalinvasiven Tunneltechniken können wir das Zahnfleisch sanft verschieben, ohne große Schnitte oder Nähte.
Dabei kommen feinste Instrumente und, wenn nötig, Ersatzmaterialien zum Einsatz, die das Gewebe stabilisieren und die Heilung fördern. So entsteht ein natürliches, harmonisches Zahnfleischbild – mit weniger Schmerzen, schnellerer Heilung und dauerhaftem Schutz für Ihre Zähne.
Mit Zahnhalsdeckungen decken wir Bereiche ab, die sich schneller durch umwelteinflüsse abnutzen (Erosion, Attrition, falsche Putztechnik), reduzieren die Empfindlichkeit und stellen die natürliche Harmonie Ihres Lächelns wieder her.
Schonend, präzise und mit nachhaltigem Ergebnis.
Fallbeispiele
Fall 1


Fall 2


Das Endresultat
Insgesamt ist dieser Prozess eine perfekte Symbiose von Medizin und Technologie, bei der die digitale Welt und das menschliche Geschick Hand in Hand gehen. Das Ergebnis? Ein oralchirurgischer Eingriff von höchster Präzision und Sicherheit, der nicht nur die Gesundheit des Patienten bewahrt, sondern auch das ästhetische Erscheinungsbild des Gesichts in seiner natürlichen Schönheit erstrahlen lässt.
Mit dieser Technologie bewegen wir uns in eine Zukunft der Zahnmedizin, in der Innovation und Patientenkomfort an erster Stelle stehen. Kein Schmerz, kein Schnitt und dennoch ein strahlendes Lächeln - willkommen in der Zukunft der oralen Chirurgie, wo Präzision und Innovation Hand in Hand gehen, um das Beste für unsere Patienten zu erreichen.







